男性?乳腺癌?
是的!
你没看错!
男性也会得乳腺癌!

近日,
一位中年男性悄悄来到我院,
不太好意思地向医生说起,
自己的左侧胸部乳房附近有个肿块。
刚开始自己摸到时没当回事,
直到前段有人开玩笑说,
不管男女,不管哪里,
只要有肿块,都不是好事!
一听这话,
他这心里有点忐忑坐不住了。
甲乳胸外科的医生为他开了乳腺彩超检查,
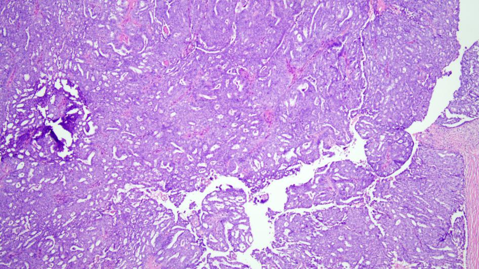
发现左侧前胸壁有大小约3.0cm×2.0cm质软肿物,
随后,甲乳胸外科为他进行左侧胸壁肿物切除术,
术后送检肿物组织至我院病理科,
检查结果提示为乳腺导管内乳头状原位癌。

男同胞们会不会产生疑惑,
“我是个男生,
男生有乳腺吗?
男生怎么会得女性乳腺癌呢?”
因为男性也有乳腺组织,体内雌激素水平升高会使男性易患乳腺癌,多见于中年男性,大约50-60岁。近年来,男性乳腺癌的发病率呈逐年上升趋势,有数据显示,1975-2015年,男性乳腺癌的发病率从0.85 /10万增加到了1.19 /10万。男性乳腺癌(MBC)是一种发病率偏低的恶性肿瘤,占男性所患癌症的1%左右,由于发病率极低,大家对该病的认识并不像女性乳腺癌那么广而熟知,很多患者对该疾病的认识也远远不够,所以患者就医较晚,治疗效果较差。一般典型症状表现为乳房无痛性肿块,发生在乳晕下以及乳晕周围,质地较硬。可能还伴有乳头内陷、乳头湿疹、瘙痒、乳头出血以及可触及的腋窝淋巴结肿大等。
男性乳腺癌由于发病机制复杂,目前病因仍不明确,部分研究表明以下原因可诱发乳腺癌的发生:1.若男性一级亲属中有乳腺癌患者,那么该男性患乳腺癌的风险就会增加1倍;2.高脂肪、高蛋白、高热量饮食,导致肥胖和脂肪量较高,可增加乳腺癌的风险;3.因某些原因长期服用性激素类药品也可导致乳腺癌风险增加;4.个人不良的生活习惯,例如主动或被动吸烟、熬夜、生活压力大导致内分泌紊乱等,其中抽烟可增加45%的乳腺癌发病风险。
2.在平时的生活中做到乳腺自查,若察觉到乳腺出现不适、有肿块,需进一步到医院检查。
男性由于乳房体积小,淋巴管较短,多数乳腺癌男性早期症状通常不明显,仅仅表现为无痛性肿块,容易被忽视,一旦发现多为晚期,病情进展迅速而错过治疗时机。
因此,打破男性患者的传统疾病观念,做好男性患者的心理疏导,提高公众对男性乳腺癌的认识,至关重要。